В мире не так много заболеваний, упоминания о которых живут веками, и нет ни одного, которое обросло бы таким количеством мифов как лепра.
Исторические и библейские источники отводили лепре, или проказе, настолько особое место в культурах разных стран и народов, что и по сей день упоминания о ней будоражат умы человечества. Более того, древние источники влияют не только людей далеких от медицины, но и на врачей, придавая болезни особый, мистический статус.

Антропологические и письменные источники убедительно показывают, что проказа была распространена в Европе с начала нашей эры. Наиболее часто упоминаются регионы Средиземноморья, для более поздних эпох – территории Западной Европы.
Скорее всего, появление проказы в Западной Европе связано с римскими завоеваниями. Продвижение римской армии по Европе, отягощенной торговыми людьми, обозными женщинами могло нести с собой новую и страшную болезнь для европейцев. Широкое распространение проказы в XII-XIII вв. можно объяснить, по-видимому, значительными по продолжительности континентальными миграциями, в частности вследствие крестовых походов. В появлении этого заболевания в Европе немаловажную роль сыграли паломники, путешествующие к христовым реликвиям и, конечно, собственно рыцари-крестоносцы.
Забыть о прошлом лепры – оказалось непростой задачей.
Несмотря на длительную историю изучения, лепра во многом остается загадочным заболеванием.
Ее диагностика противоречива, патогенез не вполне ясен, а пути передачи рождают множество споров. И хотя в изучении проказы достигнуты большие успехи, она по-прежнему остается одним из немногих заболеваний (наряду с ВИЧ и эпилепсией), определяющих стигматизацию больных.
Проказа не передаётся при простом прикосновении больного и далеко не всегда смертельна. Лишь около 10 % лиц, подвергающихся опасности заражения, действительно заболевают ею. Большинство же людей обладает необходимым уровнем иммунологической защиты от возбудителя.
Лепра воспринимается как страшная и позорная болезнь; многие пациенты страдают не от самого заболевания, а от того неприятия и отчуждения с которыми им приходится сталкиваться в обществе. Так, например, данные социологического опроса, проведенного в Южной Африке, показали, что треть обследованных пациентов намеревались совершить суицид после сообщения им «страшного» диагноза. Негативное отношение окружающих подрывает психологическое и социальное здоровье лепробольных. В той же степени оно подтачивает их физически. Стыд, порождаемый болезнью, сдерживает стремление обращаться за помощью.
Так продолжается до тех пор,пока болезнь не приводит к тяжелым последствиям, вплоть до инвалидности.
Но и те, кто излечился, рискуют больше никогда не стать полноправными членами общества.
Эпидемии лепры случались периодически, как и вспышки других инфекций. Рост заболеваемости был зафиксирован в XII–XIII веках, в эпоху крестовых походов. Во Франции насчитывалось около 2 тыс. лепрозориев, в то время как в Англии и Шотландии — 220 для размещения примерно 1,5 млн человек.
Лепрозории создавались при монастырях, где больные могли чувствовать себя в относительной безопасности, а здоровые граждане чувствовали облегчение из-за того, что прокаженные держались от них подальше.
К XIII веку в Европе появилось до двадцати тысяч лепрозориев, в том числе больницы при Ордене Святого Лазаря, позднее названные лазаретами.
В настоящее время лепрой называют хроническое инфекционное заболевание с аэрозольным механизмом передачи, при котором происходит первичное поражение производных эктодермы (кожи, периферической нервной системы, слизистых оболочек верхних дыхательных путей, переднего отдела глазного яблока).
Пожалуй, наиболее полный обзор истории происхождения названия болезни был сделан Халсе в статье «Природа библейской проказы и использование альтернативной медицинской терминологии в современной интерпретации Библии».
Анализ исторических документов показал, что за «лепрой» или, как ее еще называют, «проказой» скрывается ряд кожных заболеваний с близкой симптоматикой. Так, например, в Библии описаны заболевания, именуемые на древнееврейском языке словом «цараат». Для многих из них инкубационный период составлял порядка 1-2 недель; болезнь проявлялась изменением цвета кожи, волосы белели и выпадали.
Никакого отношения к лепре эти заболевания не имели, поскольку отличались гораздо более коротким инкубационным периодом и проявлялись симптомами не характерными для нее (например, изменение цвета волос или их выпадение).

Скорее всего, описанные заболевания имели грибковую или аллергическую природу. Более того, слово «цараат» означало не столько болезнь, сколько «нечистоту», и могло относиться не только к состоянию кожных покровов, но и к одежде, предметам быта, жилым помещениям.
Возможно, что с лепрой "были знакомы" ещё в середины II тыс. до н.э.
Иосифом Флавием (еврейский историк и военачальник) изложена история о 80 тыс. прокаженных, изгнанных из Египта:
"Царь Аменофис пожелал созерцать богов. По совету мудреца и провидца для исполнения желания он должен был очистить свою страну от прокаженных и других нечистых. Царь велел изгнать всех людей с признаками болезни к востоку от Нила, и поместил их в каменоломни.
По-видимому, это решение коснулось всех слоев населения, так как среди изгнанных было несколько ученых жрецов. Испугавшись масштабов содеянного и гнева богов, мудрец наложил на себя руки. Перед самоубийством он, не решившись прямо объясниться с царем, оставил письмо, где указал, что какие-то люди, взяв нечистых в союзники, будут править Египтом тринадцать лет.
Царь был в отчаянии. Он пожаловал про каженным некогда оставленный пастухами город Аварис, чтобы у них было собственное пристанище и кров. Прокаженные, избрав предводителя, отказались от египетских законов и обычаев. Они стали строить оборонительную стену, готовясь к войне с царем египетским.
Посольство, отправленное в Иерусалим за поддержкой и предложением начать войну с Египтом, добилось положительных результатов. И хотя иерусалимское войско не превосходило своим числом египетское, царь, не вступив в борьбу, удалился со своими приближенными в Эфиопию, прожив там, согласно предвидению мудреца 13 лет.
Жители Египта испытали тяжелые времена, поскольку владычество покорителей оказалось жестоким. Они сжигали дотла города и деревни, грабили храмы, оскверняли статуи богов, раздевая донага жрецов, прогоняли их восвояси, употребля- ли мясо священных животных, заставляя самих жрецов убивать их. "
Однако, в то время греческого эквивалента ветхозаветному «цараат» не существовало, и переводчики доверились изложенным в Библии фактам, перенеся их в неизменном виде в свои труды.
Возникшая путаница привела к тому, что в сознание людей прочно вошло ложное представление о лепре, сложившееся на основе перевода на греческий язык текстов Ветхого завета с упоминанием чешуйчатых «белых пятен» на коже и «белизны» волос.
Таким образом, «библейская проказа» и истинная лепра – это два разных понятия, которые недопустимо смешивать.
До появления современной медицины в Африке и Евразии был распространен грибок трихофитон Trichophyton schoenleinii, вызывающий фавус, или паршу, при которой на коже образуется твердая корка. Больные фавусом или псориазом также объявлялись прокаженными, изгонялись из общества или попадали в лепрозории. Иногда с проказой путали и сифилис.
Первые описания истинной лепры были сделаны в 325-324 гг. до н.э., после возвращения войск Александра Великого из Индии.
Инфекционный агент
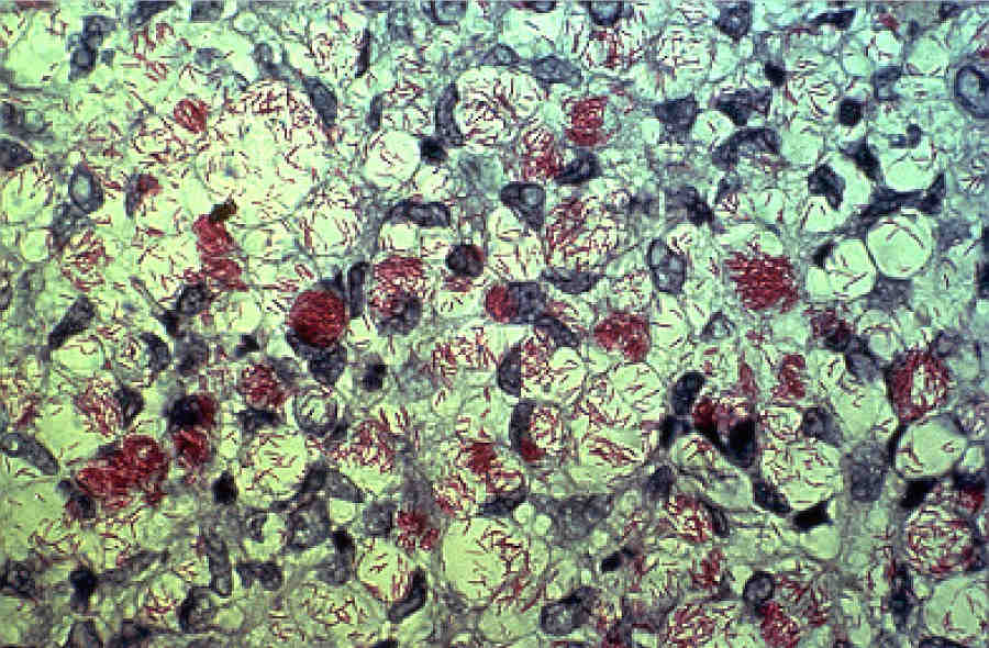
Возбудитель лепры, Mycobacterium leprae, является одним из первых идентифицированных микробных патогенов человека. Однако, несмотря на давнее открытие, сделанное Г.А. Хансеном в 1873 г., бактерия до сих пор не была культивирована in vitro.
Норвежец Герхард Хенрик Армауэр Хансен был первым человеком, обнаружившим микроб, вызывающий проказу. Бактерия Mycobacterium leprae была открыта им в 1873 году с помощью микроскопа. Хотя способы лечения заболевания оставались неизвестными, открытие возбудителя принесло облегчение больным и их родственникам: найденная естественная причина прекратила гонения на прокаженных и их детей.
О роли M. leprae в развитии болезни дискутировали давно, однако доказательства его участия в патогенезе часто оказывались неубедительными.
Принадлежность возбудителя к микробактериям была установлена на основании кислотоустойчивости, морфологии, а также вызываемых им гранулематозных поражений.

Бактериологические исследования M. leprae начали проводить только в 60-е гг. XX века, после того как Шепард сообщил о возможности выращивания бактерий в подушечках лап мышей. А получать микробный антиген в большом количестве начали тогда, когда в качестве модельных объектов для культивирования инфекционного агента стали использовать броненосцев.
Дальнейшие исследования, выполненные на мышах и броненосцах, позволили выявить пять особенностей M. leprae, имеющих важное эпидемическое значение:
- 1. Специфичность.
Традиционно лепра считается антропонозным заболеванием. Вероятно, изначально она таким и являлась. Однако, позднее возбудитель M. leprae был обнаружен в диких популяциях броненосцев.
В дальнейшем, анализ случаев носительства среди броненосцев позволил заключить, что животные являются вторичным резервуаром инфекции, возникшим не ранее чем 500 лет назад, после колонизации Америки европейцами. Относительно недавно случаи естественного носительства инфекции были зарегистрированы у шимпанзе, черных мангабеев и макак-крабоедов, что позволило квалифицировать лепру как зоонозное заболевание. - 2. Антигенность.
M. leprae имеет ряд антигенных детерминант, общих с другими микробактериями, в том числе с теми, которые потенциально связаны с развитием туберкулеза, вакциной БЦЖ и атипичными микобактериальными инфекциями. - 3. Температурный оптимум.
Оптимальная температура для роста M. leprae составляет порядка 30ºС. Эта особенность, возможно, объясняет локализацию бактерий в коже и верхних дыхательных путях - местах с пониженной температурой тела. - 4. Устойчивость.
Возбудитель лепры, находясь вне тела, сохраняет способность к инфицированию в течение нескольких дней и даже недель, особенно во влажных условиях. Совсем недавно было обнаружено, что внутри амебных цист M. leprae выживает в течение восьми месяцев. - 5. Медленный рост.
Наблюдение за развитием M. leprae в лапках мышей показали, что в течение лог-фазы роста происходит только одно деление каждые 12 – 14 дней. Таким образом, палочка лепры имеет наименьшую скорость деления, известную для бактериальных возбудителей болезней человека. Для сравнения, возбудитель туберкулеза, Mycobacterium tuberculosis, делится каждые 20 часов.
Механизмы и пути передачи инфекции
С начала исследований, возбудителю лепры приписывали разные механизмы и пути передачи. Так, например, существовало мнение, что проникновение бактерией в организм может происходить через кожу. Это утверждение основывалось на том факте, что все слои кожи пациентов с лепроматозной формой содержат большое количество бацилл M. leprae.
Анекдотические истории, повествующие об инфицировании лепрой во время татуажа, укусов животных или случайных травм, только подкрепляли эту гипотезу. Появление лепром на щеках у детей объясняли распространенной в ряде стран традицией носить детей на спинах инфицированных матерей, а лепром на ягодицах – сидением на загрязненной почве.
Позже было доказано, что неповрежденная кожа не является источником бацилл, однако отмечалось, что первые лепромы часто локализуются в местах наиболее подверженных травмам.
Если оценивать заболевание с биологических позиций, то обращает на себя внимание отсутствие мутаций возбудителя на протяжении всего времени существования этой болезни. Кроме того, болезнь характерна только для человека (!), хотя есть успешные попытки прививки ее высшим приматам в лабораторных условиях (спрашивается - ЗАЧЕМ?).
Возможными переносчиками лепры считали кровососущих насекомых и мух, поскольку микобактерии неоднократно обнаруживались в их организме или на теле.
Однако, экспериментальные данные, подтверждающие эту гипотезу, до сих пор не были представлены. Вполне вероятной представлялась гипотеза о пищевом пути передачи лепры, поскольку возбудитель обнаруживаются в материнском молоке. Тем не менее, экспериментальных подтверждений данной гипотезе также не было найдено.
Рассматривалась возможность передачи лепры половым путем, так как бациллы были обнаружены в семенниках больных с лепроматозной формой заболевания.
И все же, в настоящее время воздушно-капельный путь передачи считается основным в эпидемиологии болезни, поскольку был экспериментально доказан и неоднократно подтвержден. Экспериментальные доказательства воздушнокапельного пути передачи, тем не менее, не могут объяснить: почему в одних семьях люди чаще заболевают лепрой, чем в других. Разница бывает столь очевидна, что до открытия бактериального возбудителя Г. Хансеном, лепру считали наследственным заболеванием.
От других инфекционных заболеваний лепру отличает длительный инкубационный период, который варьирует от 2–3 месяцев до 50 лет (в среднем составляя 4–6 лет)
Вероятнее всего, наследственный фактор влияет на восприимчивость пациентов к заболеванию.
Так, Сильва с соавторами, исследуя лепробольных различающихся по системе групп крови Левиса, обнаружили, что пациенты, относящиеся по данной системе к категории «выделителей», болели в более легкой форме, нежели пациенты «невыделители». В назальном секрете «выделителей» обнаружен специфический гликопротеин, который предположительно обладает протективным действием, препятствуя адгезии бактерий на поверхности слизистых респираторного тракта.
Таким образом, подавление адгезии приводит к более медленному протеканию последующих звеньев инфекционного процесса.
Являясь зоонозом, возбудитель лепры, тем не менее, способен в течение нескольких недель (2 – 4 недели) оставаться живым в окружающей среде, особенно во влажных условиях.
Сенсационным стало недавнее открытие того, что в цистах амеб M. leprae сохраняет инвазивные свойства в течение восьми месяцев. Благоприятный микроклимат складываются примерно в четверти эндемичных по лепре стран мира.
А учитывая, что гигиеническая очистка носа во многих из них проводится прямо на улице, не трудно представить какое количество бактерий оказывается в почве, а затем и в водоемах.
Так, при обследовании колодцев и пресных водоемов Индонезии фрагменты ДНК возбудителя обнаруживались в 25 - 50 % взятых на анализ пробах воды.
Распространение лепры в мире
Когда-то лепра была очень широко распространена на земном шаре, настигая и жителей экваториальных лесов, и тех, кто жил за полярным кругом.
Еще в 1982 году количество больных лепрой превышало 11 млн. человек.
На сегодняшний день ситуация поменялась коренным образом.
Сейчас во всем мире фиксируется около 200 тысяч случаев проказы в год, однако при своевременной диагностике болезнь полностью излечима. Несмотря на международные меры по профилактике, лечению и просвещению, проблема стигматизации больных остается острой в развивающихся странах, где проказа все еще распространена и часто встречается среди бедных и маргинализованных групп населения.
На текущий момент число больных снизилось до 176 тыс. человек, главным образом, это стало возможным благодаря внедрению лекарственной терапии.
Сейчас к эндемичным по лепре странам относятся страны тропического и субэквториального поясов.

Причем, на три из них - Индию (134 752 больных), Бразилию (33303) и Индонезию (18994) приходится около 80% случаев заболевания.
В России лепра никогда не была широко распространена.
Эндемические очаги болезни обнаружены только в Нижнем Повольжье, на Северном Кавказе, в Сибири и на Дальнем Востоке. Наибольшее число больных (2505 чел.) было отмечено в начале 60-х гг. XX в., что явилось результатом масштабных диагностических мероприятий, проводимых в стране. Около 84% больных было зарегистрировано в южных районах и только 16% - во всех остальных. Основным очагом лепры в России был и остается Нижнее Поволжье.
Формы болезни
Патогенез лепры может быть представлен в виде двустадийного процесса.
На первой стадии происходит инфицирование человека M. leprae.
Инфекция может перерасти в одиночные поражения кожи, которые часто остаются незамеченными и постепенно исчезают, не оставляя следов.
В случае, если самоизлечения не произошло, а лекарственная терапия не проводилась, болезнь переходит во вторую стадию, которая имеет несколько клинических форм: от локализованных поражений до системных проявлений.
В настоящее время широко используется, ставшая уже классической, классификация клинических форм, предложенная в 1966 г. Ридли и Джоплингом.
В ее основе заложено выделение всех клинических случаев в пять групп, или форм.
В разных частях спектра расположены туберкулоидная (ТТ) и лепроматозная (LL) формы, а между ними, соответственно: погранично-туберкулоидная (ВТ), пограничная (ВВ) и погранично-лепроматозная (ВL) формы.
Первым признаком лепры является появление на коже одного или нескольких, часто сухих, гипопигментированных или эритемных пятен, четко возвышающихся над окружающей поверхностью. Пациенты с ТТ и ВТ формами имеют небольшое количество поражений кожи, отмечается снижение чувствительности вокруг очага поражения.
Пациенты с ВВ формой занимают промежуточное положение по количеству и размеру пораженных участков между TT и LL формами. ВL и LL формы характеризуются обширным поражением кожи и периферических нервов, приводящим к атрофии конечностей (особенно кистей рук) с дальнейшей потерей трудоспособности.
На практике гораздо удобнее использовать классификацию, предложенную ВОЗ, и ориентированную, прежде всего, на лечебные цели.
В ее основе лежит деление лепры на две формы: пауцибациллярную (PB) и мультибациллярную (MB).
Пациенты с первой формой имеют от одного до пяти поражений на коже, а пациенты со второй формой – шесть и более поражений.
Сравнивая две системы, можно установить, что пауцибациллярная форма по ВОЗ эквивалентна туберкулоидной (TT - поражается в основном кожа, периферические нервы, иногда — внутренние органы. Образования на коже нечувствительны, асимметричны, красновато-коричневого цвета) и погранично-туберкулоидной формам (BT) по Ридли Джоплингу, а мультибациллярная – пограничной (BB), погранично-лепроматозной (BL) и лепроматозной (LL - поражает кожу, где размножаются микобактерии, вызывая образование узлов, называемых лепромами. Постепенно образуются крупные складки, и у больного формируется «львиный лик». При распаде лепромы деформируют нос, начинают отваливаться фаланги пальцев. Это наиболее тяжёлая и злокачественная форма болезни) формам.
Потерявшие чувствительность участки тела, могут подвергаться продолжительному травмированию, что, при невнимательном к ним отношении, часто приводит к бактериемии с последующими осложнениями, вплоть до потери части пораженной конечности.
Возбудитель лепры редко является непосредственной причиной смерти больного.
Тем не менее, это возможно при осложнениях, например, при обструкции гортани.
Лечение
В прошлом, хроническое течение лепры неизбежно заканчивалось инвалидизацией или смертью больного.
Лепру лечили практически народными методами вплоть до 40-х годов XX века. Больным назначались инъекции масла из ореха чаульмугры. Процедура была крайне неприятной и доставляла большие страдания больным. При этом полезность метода ставилась под сомнение. Ситуация изменилась в 1941 году, когда сульфоновый препарат промин был впервые использован в качестве лекарства.
Прорывом стало в 50-х годах XX века изобретение нового антибиотика – дапсона. Сначала лечение им давало прекрасные результаты, но вскоре m. leprae адаптировался к антибиотику.
Позднее, появление резистентных к дапсону штаммов бактерий стимулировало поиск новых лекарственных препаратов.
В 60 – 70-е годы были получены препараты клофазимин и рифампицин. Чтобы избежать развития резистентности к новым антибиотикам, в 1981 году ВОЗ рекомендовала комбинированную лекарственную терапию, состоящую из трех препаратов: дапсона, клофазимина и рифампицина, которые с 1995 года стали предоставляться пациентам бесплатно. Изначально, для лечения пауцибациллярной формы лепры пациентам рекомендовали проходить шестимесячный курс лечения.
Монотерапия лепры неприемлема. Лечение только одним препаратом из списка делает бактерии резистентными. Они приобретают сопротивляемость, а воздействие лепры на организм усугубляется.
Каждое из лекарств выполняет собственную функцию в комплексном лечении. Дапсон прекращает размножение бактерий и замедляет ферментативную реакцию двух дигидрофолатов, ключевых ферментов биосинтеза M. leprae. Рифампицин уничтожает бактерии и блокирует синтез РНК. Загадочное действие оказывает клофазимин — не до конца изученное антибактериальное свойство препарата, скорее всего, блокирует матричные функции ДНК и дает результаты на дапсонрезистентных формах M. leprae.
Пациенты с мультибациллярной формой принимали антибиотики в течение 24 месяцев.
В 1998 году ВОЗ внесла поправки в схему лечения, сократив сроки антибиотикотерапии для пациентов с мультибациллярной формой лепры до 12 месяцев.
На сегодняшний день случаи устойчивости возбудителя лепры к комбинированной лекарственной терапии не известны.
Одной из важных проблем, связанных с патогенезом лепры, является повреждение нервов, приводящее к уродствам. Примечательно, что подобное развитие инфекции может происходить до постановки диагноза, во время лечение и даже после лечения болезни. 30% пациентов с мультибактериальной лепрой испытывают прогрессирующее повреждение нервов спустя несколько месяцев после начала курса антибиотикотерапии.
Подобные изменения обусловлены сильно пролонгированным иммунным ответом со стороны организма.
В 1954 году немецкая фармацевтическая компания Chemie Grünenthal проводила исследования с целью разработать недорогой способ производства антибиотиков из пептидов.
Хороший лечебный эффект оказывает талидомид, однако его применение требует большой осторожности, особенно у женщин репродуктивного возраста, поскольку препарат является сильным тератогеном и может приводить к формированию уродств у плода.
Стигматизация больных лепрой и пути ее преодоления
Стигматизация является характерной особенностью многих хронических заболеваний.
Обычно она характеризуется социальной изоляцией тех людей, у которых отмечаются специфические проблемы со здоровьем.
Средневековая эпидемия привела к появлению лепрозориев — лечебных и изоляционных центров для ухода за больными. Лепрозории стали главным способом сдерживания болезни. Проказа была настолько распространена, что в некоторых регионах поразила около трех процентов населения. Естественно, всех больных лепрозории вместить не могли, поэтому зачастую прокаженных объявляли «неприкасаемыми», их заставляли надевать узнаваемую закрытую одежду и носить с собой колокольчики, которые своим звоном предупреждали остальных о приближении больного.
Стигматизация обычно становится следствием невежества и предрассудков, царящих в обществе. Факторы, обуславливающие ее, очень разнообразны и широко варьируют в зависимости от региона. Ниже мы рассмотрим те из них, которые вносят наибольший вклад в придание лепре статуса страшной и позорной болезни.
Поверия относительно причины возникновения лепры
Взгляды на природу болезни существенно менялись в зависимости от региона и конкретной исторической эпохи.
В некоторых обществах считали, что лепра это результат Божьей кары, а больные грешны и несут наказание. Соответственно, окружающие должны избегать их, не препятствуя реализации Божьего замысла.
В других случаях, больные воспринимались как одержимые дьяволом.
И хотя впоследствии, все большее признание получала инфекционная природа болезни, тем не менее, большинство поверий носило сугубо негативный характер, когда вина в развитии недуга всецело возлагалась на самого больного.
Считалось, что проказа — это божественное наказание, а значит, больной несет в себе зло, грешен и способен навредить окружающим. Зараженные воспринимались обществом как проклятые и нечистые духом, их изгоняли из города, а диагностикой и «лечением» занимались эксперты по грехам — священники.
Смертный приговор
Другим фактором, активно питающим фольклор вплоть до 40-х гг. XX в., явился взгляд на лепру, как на неизлечимое заболевание. Считали, что однажды, поразив человека, болезнь неизбежно приведет к смерти.
С 1995 г. ВОЗ предоставляет всем больным лепрой бесплатное лечение во всем мире благодаря щедрым вкладам Фонда Японии, компании Новартис и Фонда Новартис для устойчивого развития.
Страх перед возможностью заражения
В основе остракизма лепробольных был страх инфицирования. В прошлом, частая встречаемость лепры среди членов одной семьи наводила на мысль о наследственном характере заболевания, а вовсе не о его инфекционной природе. Поэтому детям из семей, в которых хотя бы один человек был болен лепрой, запрещалось вступать в брак.
Пик заболеваемости проказой приходится на период с XII по XIV века, когда инфекция поражала население практически всех европейских стран.
Судьба заболевших была однозначной — они неминуемо становились изгоями, прокажённого считали «проклятым». Больные лишались всех социальных прав, им запрещалось входить в церковь, посещать рынки и ярмарки, мыться в проточной воде или пить её, прикасаться к чужим вещам, есть рядом или даже говорить с незаражёнными людьми, стоя против ветра.
Лепра у одного из супругов считалась законным поводом для развода, при появлении первых же признаков проказы человека отпевали в церкви, как мёртвого, и устраивали символические похороны, после которых больному давали особую одежду — тяжёлый балахон с капюшоном. Прокажённые обязаны были предупреждать о своём появлении с помощью рога, трещотки, колокольчика или криков: «Нечист, нечист!».
И даже после того, как инфекционный агент был обнаружен, члены семей, в которых находился лепробольной, продолжали подвергаться остракизму. Позже стало ясно, что даже тесный и длительный контакт с больным не обязательно приводит к развитию болезни.
И все равно, в некоторых странах лепробольных продолжали изолировать от общества. Часто, это происходило без согласия больного. Например, в Японии до 1996 года существовали законы, поддерживающие принудительную изоляцию больных лепрой.
Рыцарские ордена (ордены) сыграли немаловажную роль в становлении государственности современных стран Европы, как то: Франции, Германии, Испании, Португалии, НидерОбезображивание и инвалидность
Другая причина стигматизации лепро больных – уродства и инвалидизирующие состояния, вызванные болезнью.
При лепроматозной форме болезни кожа утолщается и становится рельефной, а нос – шире, что позволяет легко идентифицировать заболевание. Поражение конечностей ведет к прогрессирующей потери чувствительности, а в дальнейшем - к гангрене.
Запах
Некоторые пациенты могут иметь различимый, резко неприятный запах, исходящий от инфицированных язв. В регионах, где население испытывает дефицит воды, данная проблема часто имеет решающее значение в стигматизации больных.
Самостигматизация
Самостигматизация становится реальной проблемой, когда речь заходит о лепре.
Пациенты, стыдясь своего состояния и уродливости, сами изолируют себя от общества, тем сильнее формируя вокруг лепры ореол позорного заболевания, которое нужно тщательно скрывать.
Больные часто отказываются верить в истинный диагноз, откладывают лечение, и, тем самым, усугубляют проблемы со здоровьем. Приведенные выше причины стигматизации могут быть устранены принятием в обществе соответствующих мер.
Общие принципы лечения
Одно из важных мероприятий – лечение лепры в тех же условиях, что и большинство других заболеваний. Исследования в Индии показали, что социальная стигматизация ниже в тех регионах, где больные лепрой проходят лечение совместно с другими пациентами, а не отдельно.
Помимо устранения стигматизации, такой подход имеет и другие преимущества, например, сокращение времени на диагностику заболевания и транспортировку больного до лечебно-профилактического учреждения.
Образование
Ни для кого не секрет, что низкий уровень образования определяет распространенность стигматизации в обществе. Образование должно быть направлено на пациентов, их сверстников и на детей. Обучение пациентов поможет сформировать у них позитивное отношение к лечению, а также подготовит к неприятию, с которым они могут и, возможно, будут встречаться в обществе.
Успехи в технологиях лечении лепры должны как можно раньше доводиться до пациентов и их окружения. Часто это имеет определяющее значение в преодолении стигмы. Например, информация, относящаяся к лекарственной терапии: пациенты перестают быть заразными через несколько дней после начала лечения. Беседы с детьми о лепре могут оказывать двойной эффект, поскольку необходимой информацией будут располагать не только дети, но и их родители.
Изменение «облика» лепры
Один из возможных путей разрушения преграды между пациентом и обществом, выведения болезни из тени, является использование массмедиа. Такая практика получила широкое распространение в Индии, где для этих целей используют радио, телевидение, рекламу на витринах, автобусах и даже на одежде.
Физическая и социально-экономическая реабилитация является важной составляющей включения переболевших людей в жизнь общества.
С этой целью создаются специальные программы, позволяющие людям, изуродованным болезнью, приобретать новые профессиональные навыки, тем самым открывая пути к адаптации в обществе.
«Святой Франциск XX века» — так называли Рауля Фоллеро, французского поэта, писателя и журналиста, который посвятил свою жизнь борьбе с проказой и с дискриминацией больных ею. В 1948 году он основал Орден милосердия, а в 1966 году — Федерацию европейских противолепрозных ассоциаций.
Именно благодаря ему с 1953 года 30 января отмечается Всемирный день помощи больным проказой. По-другому эту дату называют «Днём прав больных лепрой».
Кроме этого, известны случаи, когда врачи заражали сами себя, чтобы узнать закономерности развития этой страшной болезни. Так, в середине XIX века врач Даниель Корнелиус Даниельсен в течение 15 лет ставил эксперименты, вводя себе кровь и гной прокажённых, но стать прокажённым у него так и не вышло.
Психологическая поддержка пациентам позволит сделать адаптацию более мягкой.
В эндемичных по лепре странах особое значение приобретает групповой психологическое консультирование как наиболее удобная и финансово менее затратная форма.
Комплексное лечение болезни
Интересные факты о самой страшной эпидемии средневековья - чумеДапсон — бактериостатический препарат, действующий как конкурентный ингибитор ферментов дигидрофолатсинтетазы и дигидрофолатредуктазы, которые являются ключевыми ферментами путей биосинтеза фолатов в микобактериях лепры.
Рифампицин — оказывает в отношении M. leprae бактерицидное действие. Является селективным ингибитором ДНК-зависимой РНК-полимеразы и блокирует синтез РНК.
Клофазимин — жирорастворимый кристаллический краситель красноватого цвета с бактериостатическим и противовоспалительным свойствами. Механизм антибактериального действия клофазимина изучен недостаточно. Вероятно, он связан с блокировкой матричной функции ДНК, повышением фагоцитарной активности макрофагов и синтеза лизосомальных ферментов.
Клофазимин и рифампицин обладают эффективностью в отношении дапсонрезистентных микроорганизмов (т.е. если Дапсон НЕ ПОДЕЙСТВОВАЛ).
В заключение
Успехи в микробиологии и фармакологии позволили взять под контроль распространение лепры на Земле.
В настоящее время крупные эндемичные очаги этого заболевания сохраняются только в нескольких странах. Комбинированная терапия на основе препаратов дапсона, клофазимина и рифампицина излечивает пациентов на всех стадиях болезни.
Стоит также отметить, что устойчивость возбудителя лепры к перечисленным препаратам пока не формируется.
Однако, несмотря на очевидный прогресс в борьбе с заболеванием, много вопросов остается нерешенными. Так, например, недостаток знаний о резервуарах, механизмах, путях передачи инфекции не позволяет четко формулировать принципы профилактики заболевания. Ситуация осложняется также длительным (часто в течение многих лет) инкубационным периодом болезни, что затрудняет своевременное выявление болезни и изоляцию носителя.
Комбинированная терапия не исключает развития резистентности, а сами пациенты, не всегда переезжающие в лепрозории, могут нарушать курс приема препаратов из-за его длительности и комплексности.
Лепра считается малоконтагиозной инфекцией и, тем не менее, ежегодно в мире регистрируется десятки тысяч новых случаев болезни. В чем же причина этого?!
Является ли лепра антропонозным заболеванием, распространяющимся аэрогенно, или она имеет альтернативные резервуары и механизмы передачи?! Как долго бактерии могут сохраняться в окружающей среде, и возможна ли их репродукция там?!
Вот лишь некоторые вопросы, на которые необходимо ответить, чтобы сделать еще один шаг на пути к ликвидации болезни. А до тех пор, мы можем говорить только о контроле над заболеванием.
Похожие публикации
Шизофрения

Шизофрения ("слабоумие преждевременное") — полиморфное психическое расстройство или группа психических расстройств, связанное с распадом процессов мышления и эмоциональных реакций. Шизофренические расстройства… Открыть
Стыдливое мракобесие

Как продать что-то по-дороже? Где-то в десятки тысяч раз? Примените ГОМЕОПАТИЮ! Открыть

В загадочном Бермудском треугольнике пропадают корабли и самолёты. В этом месте в океане присутствуют природные аномалии, о нём ходят легенды, а учёные всего мира пытаются разгадать тайны и объяснить невероятные… Открыть
Как британцы совместно с гитлеровцами громили антифашистов

Знаете ли вы о том, что в конце Второй Мировой войны британцы очень яростно сражались с партизанами-коммунистами? И не просто воевали с ними, а ещё и позвали на помощь… германские войска. Открыть
Большой взрыв и происхождение Вселенной

О теории Большого взрыва, о космологической инфляции, о чёрных и белых дырах, о космологической сингулярности, о теории относительности и квантовой гравитации, о нерешённых проблемах современной науки,… Открыть

