Какой была медицина каменного века? Какие травмы получали, чем болели люди в палеолите, и как пытались лечить различные заболевания? К каким средствам могли прибегать неандертальцы и кроманьонцы для исцеления от недугов?
«Гиппократовский корпус», около 400 лет до н. э.; деревянные протезы у египетских мумий — всё это было вчера. С точки зрения палеоантрополога. А существовала ли медицина за многие тысячи лет до Гиппократа? Что мы можем знать об этом? Мы (с разрешения автора) публикуем две части прекрасной статьи основателя сайта "Антропогенез.Ру" Александра Соколова о медицине каменного века. Сегодня - часть первая.
Разговор о врачах каменного века хочется начать с простой мысли: медицинская помощь невозможна без сострадания. Да, мы в состоянии до известной степени «чинить» себя сами — в случае лёгкого недомогания. Чтобы вытащить занозу или даже забинтовать рану, не обязательно обращаться за помощью. Лекарственные травки можно собрать и заварить самому — если знать, какие. Но тяжёлый недуг, травма, жар, валящий с ног, — делают человека беспомощным; без опеки окружающих больной неизбежно погибнет. Поэтому предпосылки медицинской помощи — любые проявления заботы о немощных, хворых, стариках.
Однако ряд опытов показал, что нашим ближайшим родственникам чувство сострадания всё-таки знакомо, они вполне способны на альтруизм (хотя и не в ущерб себе). Франс де Вааль описывает подобный эксперимент: двух обезьян — самок Пеони и Риту — размещали в соседних вольерах, так, что они могли видеть и слышать друг друга. Пеони получила ведро с цветными фишками — красными и зелёными. В обмен на любую из фишек обезьяне доставалось лакомство, однако красные фишки были «эгоистичными», а зелёные — «коллективистскими»: в обмен на зелёную фишку лакомство получали обе обезьяны, а при выборе красной награждалась только Пеони. Многочисленные опыты показали, что шимпанзе склонна чаще выбирать зелёные фишки — в среднем два раза из трёх — «без особой охоты, но наверняка не случайно» (де Вааль Ф. Истоки морали. В поисках человеческого у приматов. М., «Альпина-нон-фикшн», 2014, с. 178). Если же в эксперименте участвовала только одна обезьяна, то не демонстрировала никаких предпочтений — зелёные и красные чередовались с одинаковой частотой. Значит, сострадание стучалось в сердце шимпанзе?
Свидетельства заботы о ближнем описывают и исследователи, наблюдавшие шимпанзе в дикой природе. Так, Джейн Гудолл повествует о заботе самочки Литл-Би о своей пожилой мамаше, Мадам Би, которая из-за парализованной руки уже не могла забираться на дерево за фруктами. «Поглядев вверх на своих дочерей, она легла на землю и стала наблюдать, как они лазали по веткам в поисках зрелых плодов. Минут через десять на землю спустилась Литл-Би. Во рту она несла плод, зажатый зубами за черенок, в руке — второй. Когда она спрыгнула на землю, Мадам Би несколько раз тихо прохрюкала. А Литл-Би, тоже хрюкая, подошла к матери и положила рядом с ней на землю тот плод, что принесла в руке. Потом она уселась поблизости, и обе самки начали есть». (Гудолл Джейн, Шимпанзе в природе: поведение. М., «Мир», 1992, с. 371). Когда на Мадам Би жестоко напали шимпанзе-агрессоры и оставили умирать, её вторая дочь Хони-Би оставалась рядом, обыскивала мать и отгоняла насекомых в течение 5 дней, до самой её смерти.
Находка останков беззубого старика в Дманиси (Грузия), возрастом 1,8 млн лет — свидетельство того, что уже на самых ранних страницах человеческой истории начертано слово «милосердие». Старческие альвеолы заросли — значит, потеряв зубы, дманисец ещё много месяцев жил, хотя и не мог самостоятельно пережёвывать пищу.

Беззубый старик из Дманиси D-3444 + D-3900. Источник: Lordkipanidze D., Vekua A., Ferring R. et al. The earliest toothless hominin skull // Nature, 2005, V.434, pp.717—718.
Посмотрим на известные скелеты неандертальцев — боже, сколько травм! Жизнь этих людей была полна неприятных неожиданностей. Охота на крупных животных, борьба с хищниками, враждебные столкновения… Рассуждаем чисто логически — за века эти люди просто не могли не выработать каких-то способов врачевания ран, переломов, ушибов. Другое дело, как мы узнаем об этом? В статье о причинах смерти мы уже говорили, что спустя тысячи лет диагностировать можно лишь те заболевания, которые отражаются на скелете. То же самое можно сказать и о способах медпомощи — до нас дойдут лишь действия доисторического лекаря, оставившие следы на костях (правда, как мы увидим далее, есть и ещё кое-что). Что же мы можем изучать? Ампутации, трепанации и манипуляции с зубами — автографы древних дантистов. Пожалуй, ещё залеченные переломы. Вот с них и начнём.
Лечение переломов
Повторю, что неандертальцы являются рекордсменами по числу травм, в частности, переломов — кстати, сросшихся! Между прочим, если не оказать пострадавшему оперативной помощи, перелом может привести к очень серьёзным осложнениям; не дай бог, начнётся кровотечение, пострадавший получает болевой шок, а кость срастается кое-как — останешься калекой на всю недолгую жизнь.
Ключица со следами сросшегося перелома, Крапина (внизу — рентген).
Богатый материал по сломанным костям даёт знаменитый памятник — Крапина в Хорватии. Это ведь целая гора неандертальских останков, почти тысяча костей, возрастом около 130 тысяч лет. Памятник исследовался ещё в начале XX века, и вид костяного крошева — сплошь мелкие фрагменты — навёл учёных на мысль, что в Крапине некогда имело место каннибальское пиршество. Позднее исследователи обратили внимание, что некоторые повреждения на крапинских костях не были смертельными и имеют следы заживления. Хорватский антрополог Зоран Райкович приводит примеры сросшихся переломов из Крапины — левой локтевой кости, ключицы, бедренной кости, рёбер, а также проломленный, но заживший череп. Райкович подчёркивает, что кости — например, ключица — срослись без осложнений, что возможно в случае, если больному были обеспечены неподвижность и уход. Со сломанной ключицей человек вряд ли мог самостоятельно охотиться, травма должна была доставлять ему сильные неудобства в течение минимум двух месяцев. Травма черепа, судя по её характеру, привела к потере сознания, но человек оправился и прожил длительное время.
Как неандертальцы лечили переломы — если лечили! — можно лишь гадать. Накладывали повязки? Мазали мёдом? Прикладывали травы? (Про травы — разговор впереди). Сросшаяся ключица из Крапины является древнейшим — хотя и во многом умозрительным — примером такого рода, так как ближайшие факты на 100 с лишним тысяч лет моложе… К Крапине относится и древнейший случай ампутации — конечно, тоже очень спорный.
Ампутации
Проведение такой непростой операции, как ампутация конечности, требует знаний и серьёзной подготовки. Надо знать, где резать. Всё должно быть сделано быстро — пациент ведь живой! После операции необходимо быстро остановить кровь. Использовали ли древние анестезию? Хотя бы классический способ «успокоения» пациента — удар по голове?
Мы сталкиваемся с традиционной для палеоантропологов проблемой — попробуй-ка отличи преднамеренную операцию от случайной травмы. Как потерял пальцы этот человек? В результате нападения хищника — пальчики остались в пасти тигра? Или, быть может, неудачник попал по руке острым камнем; шёл, упал, очнулся — пальцев нет? А может быть, повреждение посмертное — работа падальщиков; давление осадочных пород; лопата археолога, будь она неладна? Тут на помощь приходят палеопатологи, которые ищут на костях следы заживления — признаки того, что повреждение не посмертное — человек после потери некоторой части себя прожил ещё дни, недели, месяцы или даже годы. По степени заживления можно определить минимальный интервал, прошедший с момента травмы/операции до смерти индивида.
Неизбежно возникает и второй вопрос — если мы докажем, что перед нами намеренная манипуляция, то какова её цель? Она может быть:
- медицинской;
- ритуальной (часть некого обряда);
- или даже физическим наказанием за какой-либо проступок…
Древнейшая ампутация руки, известная из письменного источника, — именно такого рода. 1760 г. до н. э. Закон 218 кодекса Хаммурапи гласит:
Если лекарь сделал человеку тяжёлую операцию бронзовым ножом и убил этого человека или же он вскрыл бельмо у человека бронзовым ножом и выколол глаз человеку, то ему должны отрубить кисть руки.
В сценах, изображённых на стенах храма Рамзеса III в Луксоре (приблизительно 1200 г. до н. э.) и в Карнакском храме (1223—1211 гг. до н.э.), военнопленных считают по количеству отрубленных рук.
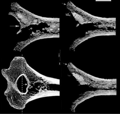
Сверху — сросшаяся ключица, снизу — локтевая кость Крапина 180, со следами предположительной ампутации нижнего конца. Источник:
Вернёмся в Крапину. Крапина 180 — правая локтевая кость, нижняя треть которой отсутствует. О том, что часть кости «потерялась» при жизни, говорит образовавшаяся костная мозоль — свидетельство длительных процессов регенерации костной ткани. Такое бывает именно при ампутации… Впрочем, другая возможная причина — врождённое отсутствие части руки у бедного калеки. А ещё бывает такая штука — ложный сустав (или псевдоартроз), это осложнение при переломе, когда кость не срастается, а на месте перелома формируется что-то вроде дополнительного сустава, с настоящими суставными поверхностями и т. п. Псевдоартроз может давать картину, похожую на ту, что мы видим в случае Крапины 180. Увы, строго доказать ни одну версию невозможно.
Ещё один неандертальский кандидат на ампутацию — наш старый иракский знакомый, старичок Шанидар 1. Среди длинного списка травм и патологий этого замечательного скелета — потерянная внешняя часть правой плечевой кости. Кость, вообще-то, была сломана в двух местах, и внешний её конец — уплощённый, с обширным обнажением трабекулярной ткани, а также общая атрофия кости — наводят на мысль об ампутации, либо о несросшемся переломе (опять ложный сустав?)… Известный антрополог Эрик Тринкаус высказывает предположение, что рука, действительно, могла быть ампутирована чуть выше локтя, хотя не исключает версию псевдоартоза (просто часть кости могла потеряться уже после смерти неандертальца). По крайней мере, человек прожил после травмы длительное время.
Правая лопатка и плечевая кость Шанидар 1. Источник: Trinkaus, 1982, p. 63.
Более определённые свидетельства ампутации приходятся на гораздо более поздние эпохи — прыжком через десятки тысяч лет, в мезолит и неолит.
Хорошо сохранившиеся останки пожилого мужчины найдены в 2007 г. на неолитическом памятнике Бютье-Буланкур (70 км к югу от Парижа), их возраст 6900—6700 лет. Сразу было замечено, что часть левого плеча отсутствует, кости предплечья и кисть тоже — при том, что правая рука сохранилась практически полностью, как и весь скелет. На врождённое отсутствие руки не похоже — в этом случае наблюдалось бы утончение кости, а его нет. Ампутация? Рентген и микротомография показали: поверх травмы сформировался новый кортикальный слой. Судя по его толщине, после операции человек прожил от нескольких месяцев до нескольких лет. Признаков инфекционного поражения нет — всё было сделано аккуратно. Дядька не молод; при жизни он потерял все зубы, на позвонках и коленях — многочисленные признаки артроза.
Погребение 416, Бютье-Буланкур, Франция. Источник: Buquet-Marcon 2007, p. 15
Сравнение 3-х микротомографий плечевой кости из Погребения 416, Бютье-Буланкур, с микротомографией плечевой кости современного человека. Источник: Buquet-Marcon 2007, p. 15, p. 17.
Что же послужило причиной для операции? Возможно, травма руки. Исследователи полагают, что рука была частично оторвана в результате несчастного случая, и хирург просто завершил ампутацию. Такой вывод сделан, поскольку место для ампутации выбрано не лучшее — проще было бы резать в нескольких сантиметрах от локтевого сочленения, на диафизе — а рубили прямо по блоку сустава. Однако, судя по всему, кость не была полностью сломана. Чтобы провести такую операцию, древний хирург должен был уметь быстро остановить кровь и провести дезинфекцию.
Ещё один пример древнейшей ампутации — правда, судя по всему, ритуальной — погребение женщины из мезолитического памятника Мурзак-Коба (в Крыму). Этот скелет, найденный ещё в 1965 году, находится в коллекции петербургской Кунсткамеры, и недавно его обследовала известный российский антрополог Мария Борисовна Медникова (пользуясь случаем, благодарю Марию Борисовну за предоставленный материал).
Погребение в Мурзак-Кобе — двойное, в нём найдены останки мужчины и женщины в одинаковых позах, с согнутыми левыми руками — вероятно, муж и жена. Уникальная особенность женского скелета — оба мизинца её рук отрублены в симметричных местах. Любопытная травма на черепе, по мнению первооткрывателя, советского палеопатолога Д. Г. Рохлина, является следом «удара тупым оружием».
Мурзак-Коба. Микрофокусные рентгенограммы медиальных фаланг кисти у женщины с признаками ампутации Источник: Медникова 2015, с. 56.
Симметричность травм на руках позволяет, во-первых, отбросить версию случайности, а во-вторых, наводит на мысль о ритуале. Ампутированные мизинцы успешно зажили, хотя имело место воспаление, более сильное на правой руке — видимо, ею продолжали пользоваться. Судя по современным этнографическим аналогиям, такой ритуал мог быть знаком траура, например, по умершему ребёнку. А у некоторых австралийских групп, пишет М. Медникова, принято девушкам ампутировать левые мизинцы, поскольку они «мешают наматывать лесу при рыбной ловле». Интересный момент, на который обратил внимание Рохлин, — знаменитые трафареты рук из кроманьонских пещер Гаргас, Эль-Кастильо, Пеш-Мерль, Коске — на этих древнейших изображениях ладоней часто не хватает одного или нескольких пальцев. Ладошки, как правило, маленькие — не женские ли? А может, ампутация пальцев — часть обряда инициации подростков?
Трафареты рук из пещеры Гаргас, Франция.
И напоследок, чтобы понять, НАСКОЛЬКО мы далеки от каменного века :)
7 самых странных способов лечения в истории медицины
Пускание крови

Мнение о том, что лечить болезни можно, выкачивая литрами кровь из пациента, опиралось на гуморальную патологию — умозрительную теорию, согласно которой причинами всех болезней являлось расстройство соков организма. По Гиппократу, в теле содержались кровь, слизь, желтая и черная желчь в равных пропорциях. Причиной многочисленных заболеваний считали переизбыток крови, потому и прибегали к помощи ножа — а пациенты редко переживали подобную процедуру.
В других случаях могли пускать не только кровь, но и другие соки. К примеру, душевнобольному поэту Фридриху Гельдерлину огнем обжигали лоб, нанося «целебные» раны. Текущий из ран гной почитали за желтую желчь, которой, согласно диагнозу Гельдерлина, в его организме было с избытком.
Ртуть против сифилиса

Против распространенного прежде «заболевания сластолюбцев», то есть сифилиса, современные антибиотики помогают гораздо лучше ртути. Однако тогдашние врачи не имели выбора и прибегали к помощи токсичного металла. Предполагалось, что ртуть должна устранить излишки «слизи», но если больной плохо переносил лечение ядовитым металлом, то это лишь доказывало, что «лекарство» действует. Внутреннее и наружное применение ртути, конечно, никак не влияло на симптомы сифилиса, однако вело за собой смертельный исход из-за интоксикации. Так или иначе, даже не прибегая к радикальному лечению, больные сифилисом страдали от язв и шрамов, остававшихся на всю жизнь, а у многих в поздней стадии начиналось слабоумие, ведущее позднее к смерти.
Трепанация

Неизвестно, чего врачи пытались добиться, пробуравливая дыру в черепе: прибавить что-то к его содержимому, или, напротив, убавить от него. Ясно лишь то, что у древних была определенная цель для сверления черепных коробок своих ближних. Археологи сообщают о находках в Европе более 450 трепанированных черепов каменного века. Очевидно, что трепанировать череп при помощи орудия из кремния было не так сложно. В большинстве случаев операция проходила удачно, и пациент оставался жив. Об истинном смысле такого лечения можно только догадываться. Возможно, таким образом лечили головные боли или повреждения мозга. Возможно, что трепанация была одной из религиозных практик. Однозначного ответа ученые до сих пор не нашли.
Антимастурбационный корсет

Для того, чтобы составить знакомство с сомнительными медицинскими теориями или ненадежными терапевтическими практиками, в XVIII столетии не обязательно нужно было болеть. Европейская медицина в то время устроила настоящую истерию относительно распространенного среди обоих полов самоудовлетворения. Помимо распущенности, утраты волос и разжижения мозга, онанизм грозил человечеству всеми возможными опасностями. Строгие меры воспитания — такие, как дополнительные молитвы и отказ от узкой одежды, должны были помочь справиться с «болезнью», однако и такие методы не всегда приводили к нужному результату. По этой причине многие родители заботливо одевали своих отпрысков в специальные корсеты, блокирующие возможность прикосновения к собственным гениталиям. Это было экономичнее и эффективнее, чем связывать дочери или сыну на ночь руки.
Ректальное курение

До недавних пор табак считался полезным продуктом и повсеместно использовался в лечении, даже при заболеваниях пищеварительного тракта. Для того, чтобы доставить целебный дым напрямик к необходимому месту, врачи изобрели специальную систему из камер, где зажигался табак и мехов, нагнетающих воздух по специальной трубке. Это приспособление позволяло пациентам лечиться при помощи ректального курения. Целью необычного лечения было избавление от паразитов или желудочных колик.
Табачный дым, согласно врачам XVIII века, должен был также пробуждать жизненные силы, поэтому табачные клистиры употреблялись в качестве средства первой помощи для пострадавших в кораблекрушениях. Тех, кого вылавливали из воды без сознания, оперативно накачивали дымом — ректально, орально или сразу с двух сторон, для пущей надежности.
Качели Джозефа Кокса

Изобретенные английским невропатологом Джозефом Мэйсоном Коксом качели служили для того, чтобы вращать душевнобольных вокруг своей оси. Аппарат Кокса отличался от предшествующих моделей тем, что пациент сидел, откинувшись спиной назад. Такое положение вызывало у больных головокружение, тошноту и рвоту. Еще одним эффектом от использования таких качелей был страх перед повторением процедуры. Качели должны были сделать пациентов контролируемыми или, напротив, открытыми к диалогу — на это же были направлены многие другие методы неврологии XIX века, создающие у человека ощущение того, что он тонет или захлебывается.
Лоботомия

Неожиданных масштабов в прошлом столетии достигает увлечение лоботомией душевнобольных. Американский врач Вальтер Фриман открыл, что надрез на лобных долях головного мозга помогает больным шизофренией при сравнительно минимальной степени хирургического вмешательства. Он просверливал пациентам отверстие под веком при помощи ножа для колки льда, а далее, при надрезе, ориентировался наощупь, что нередко делало больных «овощами». На своем «Лобомобиле», специально оборудованной машине, Фриман объездил всю Америку, чтобы вылечить как можно больше пациентов. Однако он был не единственным любителем лоботомии. В XX веке более 50 000 людей подверглись этой сомнительной процедуре.
Похожие публикации
Симбиоз рыб

Симбиоз - форма взаимоотношений, при которой оба партнёра или только один извлекает пользу из другого (паразитизм - вариант симбиоза :) ). Открыть
Художник преобразовывает горы - подземный сказочный мир

Скульптор-самоучка Ра Полетт вот уже 25 лет каждый день работает в пустынных скалах Нью-Мехико, где вырезает волшебные дворцы. Он находит пещеры из светлого песчаника, которые легко поддаются резцу, углубляет… Открыть

О мамонтах, их возможном клонировании и причинах их вымирания. Открыть
Можно ли жить без мозга? И каково это?

Что бывает с человеком, если у него только одно полушарие, нет мозжечка или, скажем, удалили гиппокамп и он забывает каждую ночь все, что с ним происходило в течение дня? Открыть
Нейтронные звезды и черные дыры

Нейтронные звезды и черные дыры являются финальными стадиями эволюции массивных звезд. Эти компактные объекты не только обладают интереснейшими астрофизическими проявлениями, но и представляют огромный… Открыть

